Hip Resurfacing

 

Background to hip resurfacing surgery 

 

The operation of hip resurfacing is designed to relieve the symptoms of arthritis in the hip.  Although, like total hip replacement, it is a very successful operation it is a major procedure and it should be undertaken only for severe symptoms.  It is only the patient who knows how severe their pain is but reasonable guidelines are as follows.

 

The surgery is indicated if your hip is preventing you walking for normal day to day purposes due to either pain in the hip or a severe limp.  If you cannot walk down the road to the post box or the newsagent or you cannot walk when you are on holiday or you want to go shopping, that is clearly a significant problem.  Some people find that surgery is required if the hip is so painful that they cannot sleep at night.  In a younger patient it is reasonable to undertake a joint replacement if you cannot go to work because of hip pain.

 

Do I need a total hip replacement or a hip resurfacing?

 

A hip resurfacing is best thought of as being a special type of total hip replacement.  The two operations take much the same amount of time and they are carried out through much the same incisions so there is not much to choose between them from the patient’s point of view.  

 

The advantage of the hip resurfacing is that it has a very high quality all metal bearing which should have a very long life.  It also has the advantage that if it wears out it may be straightforward to convert it into some type of total hip replacement.  

 

Most types of total hip replacement have a metal on polyethylene bearing.  This works very nicely for many years in patients with relatively low activity levels but the polyethylene does eventually wear out, particularly in the more active patients.  The resurfacing has the disadvantage that it has only been studied in detail for the past ten years whereas some types of total hip replacement have been studied for well over thirty years.  So although hip resurfacing looks very promising it is possible that it has problems which we are not yet aware of.

 

The bottom line is that hip resurfacing is sensible in younger patients particularly with osteoarthritis.  The government’s National Institute for Clinical Excellence (NICE) recommends the surgery for younger patients with osteoarthritis.  

 

 

NICE Guidelines

 

In April 2002, the National Institute for Clinical Excellence, the government body which reviews and gives judgement on all products associated with the medical and pharmaceutical industries, issued guidance that recommended the selective use of metal on metal hip resurfacing.

The main points of the guidance state that;

• Hip resurfacing is considered as an option for people with advanced hip disease who would otherwise receive and are likely to outlive a conventional primary total hip replacement.

 

• Hip resurfacing arthroplasty should only be performed by a Surgeon who is trained specifically in the technique

 

• The informed consent of the patient should include information about the safety and reliability of the device and the likely outcome of revision surgery in comparison to conventional total hip replacement.

 

Additionally, due to the need to gather clinical effectiveness and cost data on the use of this technology, details of all patients should be submitted for inclusion in the UK national joint register.

The full NICE 'Final Appraisal Determination on metal on metal hip arthroplasty' is available on the NICE website at: www.nice.org.uk

 

Indications for surgery

 

The hip resurfacing does depend on having a round head or ball at the top of the femur. If the ball has fallen apart a conventional hip resurfacing cannot be used.  Additionally if the patient’s bone quality is very poor it should not be used.  Typically patients with rheumatoid arthritis have relatively poor quality bone, however there is increasing evidence that hip resurfacing can be reliable in relatively active patients with rheumatoid.  

 

My view is that hip resurfacing should be used in males with osteoarthritis under the age of 60.   It should be used for particularly active males between the age of 60 and 70 and, on rare occasions, in highly active males over the age of 70.  In females the procedure is appropriate in most active females under the age of 50.  Between 50 and 65 osteoporosis may be more of a problem and the hip resurfacing does have a complication known as neck thinning.  In neck thinning the bone in the femoral neck becomes progressively weaker over a period of years.  I think that hip resurfacing would only be very rarely indicated in a female over the age of 65.

 

What is the hip joint like?

 

The hip joint is the joint between the pelvis and the upper end of the femur or thigh bone.  The hip is a ball and socket with the socket in the pelvis and the ball on the upper end of thigh bone.  The hip allows both flexion and extension, ie. bending or straightening and also rotation of the joint. The surfaces of the two bones are covered with cartilage which is a shiny white lubricated surface.  

 

Although the hip is a ball and socket which is quite stable it does rely on the muscles around the hip joint to stop the ball and socket coming out of the joint or dislocating.  For this reason hip replacement can be problematic in people with poor muscle control.

 

 

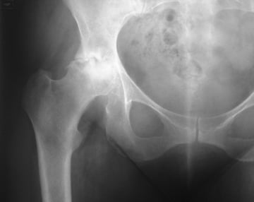
An arthritic hip.  The smooth round ball has been eroded and it is rubbing in the socket

 

        The process of arthritis in the hip is a destruction of the articular cartilage surface of the joint.  This can occur because of childhood abnormalities in the hip caused by unusual types of hip disease or by the development of a very shallow socket in the hip.  These abnormally shaped hips tend to wear out in adult life.  The cartilage can also be damaged by arthritis.  There are two main types of arthritis which affect the hip.

 

Osteoarthritis is a condition in which the articular cartilage wears out.  It can be caused by major injuries to the joint.  It is more common in people who have had sporting injuries at a young age, but the main cause is genetic.  The condition runs in families and it is a common part of the ageing process.  Osteoarthritis is nothing to do with osteoporosis which is a thinning of the bones which causes fractures but does not cause arthritis. 

 

Rheumatoid arthritis is a disease rather than being a simple wearing out process.  In rheumatoid arthritis the lining of the joint is inflamed and it is this inflammation which damages the joint surface.  There are other unusual types of inflammatory arthritis similar to rheumatoid arthritis.  These include psoriatic arthritis, SLE, Post Parvovirus arthritis and ankylosing spondylitis which commonly causes stiffness in the spine as well as arthritis in the hip. 

 

How is a hip resurfacing carried out?

 

The hip joint is opened from the front of the hip using an incision which runs on average around 8 inches over the side of the hip.  Muscles are detached from the front of the femur to access the joint and the joint capsule is removed.  This allows the ball and socket to be dislocated.  The ball or head of the femur is trimmed and shaped to take the femoral head resurfacing component.  The trimming and shaping of the head of the femur is a key part of the operation.  It is carried out using a jig which is designed to result in the resurfacing component being accurately lined up on the neck of the femur.  If the head of the femur is misplaced on the neck of the femur this can cause difficulties and also sometimes the patient’s bone quality is unexpectedly thin or there are arthritic cysts in the neck of the femur.  Under these circumstances, only in about 2% of cases, the resurfacing has to be abandoned and a hip replacement performed instead.  

 

After the head of the femur has been prepared the socket is cleaned of arthritic bone and debris to allow the socket to be resurfaced.  Accessing the socket is a little difficult if the head of the femur is still in place so the procedure is somewhat more difficult than a conventional hip replacement.  Assuming the bone is of reasonable quality the socket is resurfaced with a metal shell which the bone can grow into.

 

The artificial socket is impacted into the bone of the pelvis and it should achieve a very firm fit.  

Having fixed the socket the head of the femur, which has already been prepared, is resurfaced.  A very liquid form of bone cement is poured into the metal component which is then impacted onto the head of the femur.  Before this is done the head of the femur is cleaned with a special water jet.  The pin from the gig which is in the outside of the femur is removed and blood is sucked from femur so that the bone cement gets a good grip.   

 

Bone cement is a plastic cement which is mixed from two components.  It grouts into the bone and it sets solid in about ten minutes.  Over the few months after the surgery the cut surface of the bone regrows in close adhesion to the bone cement.  

 

The head of the femur is then reduced into the socket and the wound is closed.

 

 

The hip seen above after a Birmingham Hip Resurfacing

 

The hip resurfacing which I routinely use is a Birmingham hip resurfacing.  This type of resurfacing was originally developed by my colleague Mr Derek McMinn working at the Royal Orthopaedic Hospital.  At the time Mr McMinn was the first individual in the world to undertake metal on metal hip resurfacing and I was able to start using the device very soon after it was introduced.  The present device was introduced in 1997 after further development work with my colleague, Mr Ronan Treacy. 

 

The risks and benefits of hip resurfacing

 

Hip resurfacing is a very successful operation.  It works well in over 95% of cases in the long term.  The main benefit of the operation is relief of arthritic pain.  Many people who have a hip resurfacing feel as if they have a completely normal hip.  In some patients the hip may feel artificial and it may have some minor aches and pains around the joint.

 

The surgery is however a major procedure which has occasional very serious complications.  The complication that we worry about most is infection.  If the hip resurfacing becomes infected it certainly has to be operated on again and the problem can leave the patient every bit as bad as they were to start off with, particularly if the infection cannot be fully eliminated.  The incidence of infection in routine hip resurfacing at the Royal Orthopaedic Hospital is around 1%.  The risk is higher in patients with rheumatoid arthritis, diabetes, obesity and other medical problems.  Even so the risk is only around 2%.  There are risks of damage to nerves and blood vessels around the hip.   

 

The biggest risk is with the sciatic nerve.  This nerve runs at the back of the hip.  Obviously we know where the nerve is located and it is possible to guarantee not to carelessly cut the nerve.  It can however respond unpredictably to the bruising which one inevitably has following a hip resurfacing.  The sciatic nerve can also potentially be damaged by the jig and drills which are used during the preparation of the femoral head.  If the nerve is damaged this can cause horrible sciatic pain and weakness in the foot.  To my mind this is actually the most unpleasant complication of hip resurfacing.

 

A significant risk with hip resurfacing is a fracture of the neck of the femur which is the bit just below the head or ball.  If this is going to happen it normally happens in the first two months.  Common sense would suggest that it is more likely to happen in patients with thinner or weak bone, however experience shows that this complication can occur unpredictably in large muscular individuals.  The risk of the complication in my hands is less than 1%.

 

There is a risk of the hip resurfacing coming out of joint.  The risk of this happening is much less than in patients having a total hip replacement.  The risk is probably less than 1 in 500.  This is fairly unusual in basically fit patients who have good muscle control.  There is a risk of around 1% in the first six weeks.  The risk is less than that in the long term.  If the hip dislocates it has to be pulled back under an anaesthetic which is obviously extremely tedious for the patient.   

 

The risk to the patient’s life from a total hip replacement is extremely small but it cannot be totally ignored.  For a fit individual the risk is probably around 0.3%.  The risk is obviously higher in people with medical problems and it is certainly a bit higher in patients over the age of 80.  The main medical complications are heart attacks during or after the surgery and the formation of blood clots in the legs which may float off to the chest with dire consequences.  The risk of this happening is reduced by giving the patient regular doses of Warfarin and then Aspirin around and after the time of surgery. 

 

Overall therefore the risk of a major complication from the surgery is probably around 2-3%.  

 

Between the 90% of operations which are very successful and the 2-3% where there is some major problem, there is a group of 5-10% of patients who have a slightly suboptimal result, the procedure is not a disaster but it is spoiled by some problem, particularly the patient may have a detectable limp, they may have pain over the outside of the hip (trochanteric bursitis) or the leg length may not feel quite balanced.  It is common to have a slight difference in the length of the legs after a total hip replacement but this is much less of an issue with a hip resurfacing.  Overall with these various problems the operation is not a disaster by any means but it is not as good as some.

 

 

 

 

In the long term on average around 95% of hip resurfacings are still working ten years after the surgery and I have a group of patients now who I operated on at least ten years ago who continue to perform satisfactorily.  The latest information (03.04.2007) on my patients is that 97% of the implants are still working at 13 years as shown on this survivorship chart.  Download here: amct_all.pdf

 


 

It is a good idea in a hip resurfacing patient to have follow-up hip x-rays over the years because the very long term outcomes of the procedure are not known and the operation is commonly carried out in younger patients.

 

The care of the patient before and after hip resurfacing

 

Prior to your surgery it is important that you tell the treating team and the anaesthetist about any medical problems you have and you will be seen at a pre-op assessment clinic for this purpose and to have a full medical check-up.  

 

All patients undergoing total hip replacement surgery have a blood count and their biochemistry checked together with the blood inflammatory markers which are used to monitor the activity of rheumatoid arthritis and check up on infection.  Some patients need their chest x-rays and ECGs done.  Patients with rheumatoid arthritis need to have a neck x-ray prior to surgery as rheumatoid arthritis can cause instability in the cervical spine.  Patients can prepare themselves for surgery by understanding what is going to happen and by keeping as physically fit as possible prior to the surgery, you should therefore do your muscle exercises as much as you can within the limits of the fact that your hip is obviously painful. If you have rheumatoid arthritis your medical management should be optimised by the rheumatologist and the rheumatologist may also treat you with medications such as calcium and bisphosphonates to improve your bone density.  

 

If you are a smoker you should stop.  Smoking certainly increases the risk of a surgical complication following any procedure and total joint replacement is more likely to be problematic in a smoker.  

 

If you are overweight you must reduce your weight.  Weight is calculated using the Body Mass Index (BMI) which gives a reliable measurement of how much you weigh in relation to your height.  Your clinic nurse should be able to calculate your BMI for you using a wall chart.  

 

Your Body Mass Index should be 20 to 25.  If it is 25 to 30 you are overweight. If it is 30 to 35 you are obese and you are better to lose weight.  Once your Body Mass Index is over 35 you are at more serious risk of complications following knee replacement and above a BMI of 40 things are really unacceptably dangerous in my view.  

 

The main risk of being overweight with a hip resurfacing is of complications in the early stages.  There is an increased risk of anaesthetic complications due to difficulty with breathing and I think that there is an increased risk of wound healing problems.  There is probably also an increased risk of deep vein thrombosis or blood clots in the leg veins.  

 

The situation with hip resurfacing and total hip replacement is somewhat different to the situation with total knee replacement.  In a total hip replacement the patient’s weight does not seem to have such an important influence on the long term outcome of the joint, ie. the hip does not seem to wear out purely because of the weight going through it.  It is actually more a matter of the amount of walking which the patient does.

 

Progress after hip resurfacing

 

Following the surgery the anaesthetist will have placed a drip in your arm.  You may have an epidural catheter or a nerve block catheter both of which are used to numb the pain in your leg so that you do not have to have such a strong general anaesthetic.  Hip resurfacing can be done either under a general anaesthetic or an epidural or spinal anaesthetic.  These days it is most commonly done with a combination of a light general anaesthetic and some type of nerve block.  The anaesthetist will usually be happy to comply with the patient’s wishes.  Some people cannot stand the idea of being put completely to sleep but other people cannot stand the idea of a needle in their spine.  There are times when an epidural anaesthetic is better, for example, a patient who has severe chest disease.

 

Following the surgery your skin will be closed with a nylon stitch.  It is possible to use metal clips in the head but I find that, particularly with frail skin, the nylon stitch has a low risk of wound problems.  You will have a dressing over the stitches which is ideally left undisturbed.

 

You will normally get out of bed the day after the surgery with the help of a physiotherapist.  It is quite hard work after a total hip replacement.  The physiotherapist will get you standing initially with help and then with a walking frame.  Once you have mastered walking with the frame the physiotherapist will be keen to get you walking with elbow crutches.  Your walking pattern is much more normal using crutches than it is with a frame.  If you do not have any other medical problems you will normally be on the crutches by around two days after the operation.  In the vast majority of patients the more exercise you can do the better and the more you can toughen up the muscles around the hip and walk, the better.   The physiotherapists should have you walking on the stairs between about three to four days in a fit, younger patient and five or six days in a less fit or elderly patient.  

 

The physiotherapist will tell you how to avoid the hip dislocating, although the risk of this with a hip resurfacing is very small.  The way that I do either a total hip replacement or a hip resurfacing is through the front of the joint so the joint will normally be stable when you are sitting, provided that this is not in a very low chair, and with your legs slightly apart.  The biggest risk of dislocation is when you are twisting, particularly if you twist away from the hip replacement.

 

Most patients will leave hospital after three to four days if they are local patients who can be supported by the community scheme and possibly a little longer if they come from a long distance or they live alone.

 

Patients with rheumatoid arthritis may have difficulties caused by upper limb problems such as painful shoulders.  If you have painful shoulders and elbows prior to the surgery, if you let us know we can inject these joints whilst you are under the anaesthetic which often helps with post-operative progress.  

 

The skin stitches are removed from the skin at about twelve days, maybe fourteen days in patients with particularly frail skin, on steroids, etc.  By this time you should be mobile around your house with the aid of two elbow crutches and able to get up and down stairs without excessive difficulty.  By six weeks post-operation you should be mobile with one stick and you should be able to drive a car, particularly if it was the left hip that was replaced.  

 

        Swelling in the leg is common after hip and knee surgery. It is important to keep the leg muscles moving and not to leave your foot sitting still on the ground excessively after the surgery. 

 

         For more details on swelling click here

Limping is common in the first three months post-surgery for more details click here.

 

        To get back to driving your car a useful guide is that if you can walk up and down stairs relatively briskly you should be able to drive a car.  The best thing is to take your car to a quiet cul-de-sac and make sure you can do an emergency stop before you set off down the M6.

 

Conclusion

 

Hip resurfacing is a major operation.  It was introduced a little over ten years ago now.  Most of the time it is dramatically successful and the chances of success are increased by careful attention to detail both from the surgeon, other members of the team and the patient.  

 

 

Some great people from the history of Orthopaedics:

The anatomical studies of Leonardo da Vinci, from around 1510, are one of the great achievements of the Italian renaissance.  His work helped to lay the foundations of modern scientific medicine, and orthopaedics in particular

 

Pioneering Orthopaedic Surgeon Professor Sir John Charnley using the lathe in his workshop at home. John Charnley radically changed the treatment of hip arthritis with his total hip replacement designed in the early 1960s. 

 

Mr Mike Freeman of The London Hospital sitting with Dr John Insall  (right) of The Hospital for Special Surgery, New York in Mike Freeman's garden in about 1980.  These two individuals were responsible for working out questions of design, balance and alignment which are the basis of all good modern Total Knee Replacements.